Smiles Elevated | Night Guards, Cosmetic Dentistry and Veneers

Dentistry Before and After Photos

At Smiles Elevated we are dedicated to creating lasting smiles through comprehensive care using the latest technology. We proudly offer personalized, patient-driven care focused on the health, beauty, and functionality of your teeth. Please browse our smile gallery below and contact us to schedule a smile consultation today.

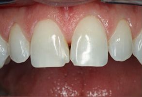
before

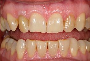
Before

Smiles Elevated | Cosmetic Dentistry, Sleep Apnea Appliances and Invisalign reg

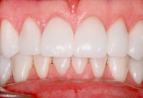
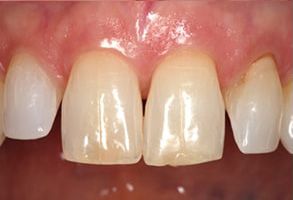
After

Smiles Elevated | Invisalign reg , Botox reg  and Root Canals

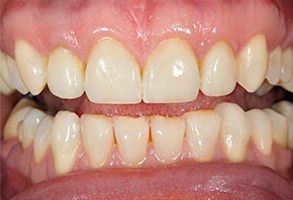
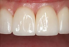
Before

Smiles Elevated | Implants, Cosmetic Dentistry and Pediatric Dentistry

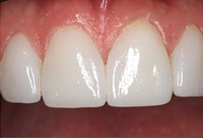
After

Smiles Elevated | Emergency Treatment, Extractions and Scaling and Root Planing

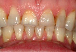
Before

Smiles Elevated | Cosmetic Dentistry, Scaling and Root Planing and Teeth Whitening

After

Smiles Elevated | Comprehensive Care, Sleep Apnea Appliances and Night Guards

Before

Smiles Elevated | Bad Breath, Root Canals and Bridges

After

Smiles Elevated | Sleep Apnea Appliances, Bad Breath and Impressionless Dentistry

Before

Smiles Elevated | Veneers, Root Canals and Pediatric Dentistry

After

Smiles Elevated | Bridges, Emergency Treatment and Cosmetic Dentistry

Before

Smiles Elevated | Implants, Bad Breath and Impressionless Dentistry

After

Smiles Elevated | Extractions, Teeth Whitening and Scaling and Root Planing

Before

Smiles Elevated | Dentures, Scaling and Root Planing and Comprehensive Care

After

Get in touch

We’re always on hand to answer your questions and get back to you with a prompt response.

Submit

Thank You!

We appreciate you taking the time to visit our site. We'll review your message and be in touch with you soon.

Continue

Let us help bring out the best in your smile!

Office Hours

Monday
7:40 AM - 4:30 PM
Tuesday
7:40 AM - 4:30 PM
Wednesday
7:40 AM - 4:30 PM
Thursday
7:40 AM - 4:30 PM
Friday
7:40 AM - 4:30 PM

Contact Us

5530 Wisconsin Avenue
Suite 1535
Chevy Chase, MD 20815

(240) 465-9066

Share Your Smile Rewards

Our New Patient Referral Program

Learn More »